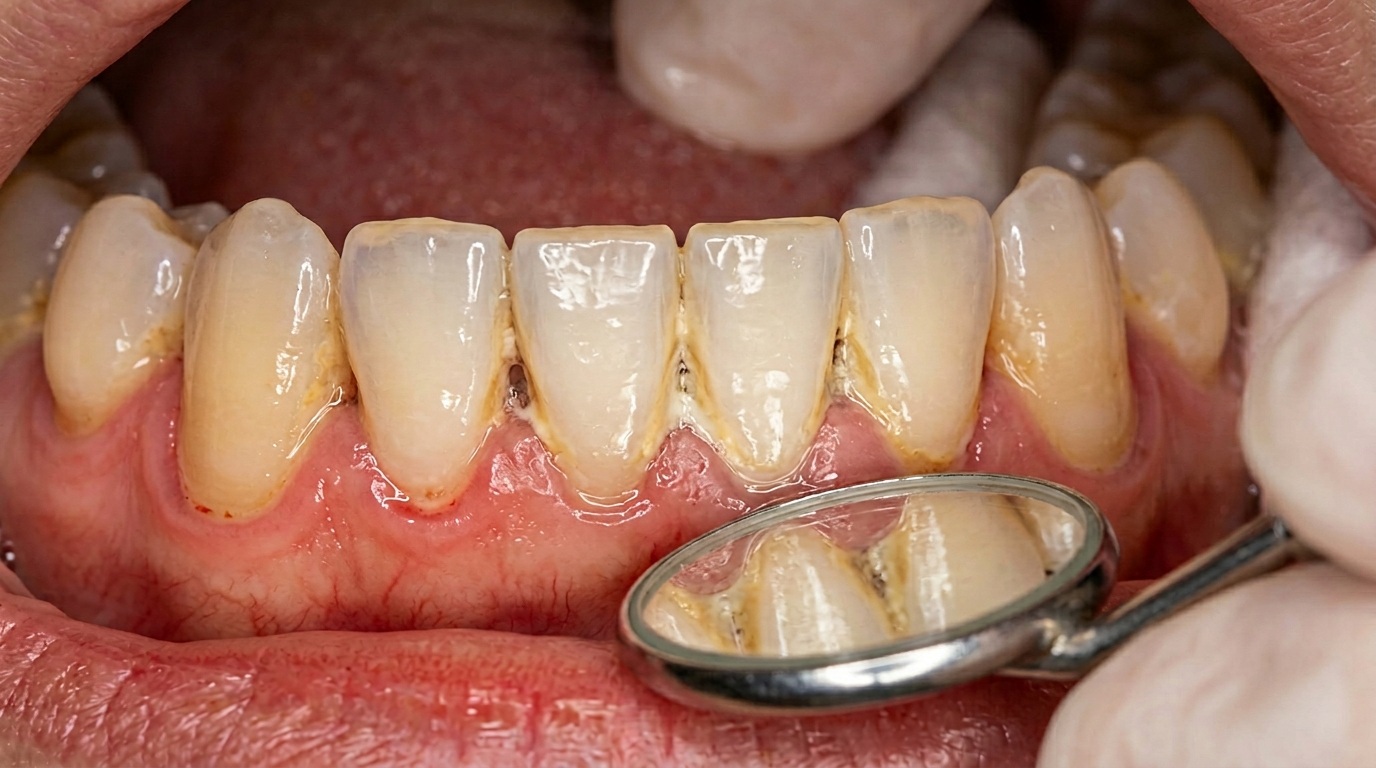
Хорошей щетки, пасты и ирригатора недостаточно, чтобы полностью сохранить здоровье зубов. Во рту остаются «слепые зоны»: межзубные промежутки и поддесневые карманы, где скапливается мягкий налет. Под воздействием слюны он минерализуется и превращается в зубной камень, который невозможно удалить щеткой. Такие отложения становятся источником бактерий, провоцируют воспаления десен, неприятный запах и кариес.
Профессиональная гигиена полости рта — это единственный способ очистить труднодоступные участки и остановить разрушение тканей на ранней стадии.
В этой статье разберем, что включает профгигиена, почему она действительно необходима и как проходит в клинике «Арт Смайл».
Что такое профессиональная гигиена?
Профессиональная гигиена зубов — это комплекс лечебно-профилактических процедур, направленных на удаление всех видов зубных отложений. Проводится гигиенистом с помощью специального оборудования и позволяет убрать то, что невозможно удалить в домашних условиях.
Чем профессиональная чистка отличается от домашней?
Домашний уход поддерживает чистоту, но не справляется с плотными отложениями и труднодоступными зонами.
Профессиональная чистка дает более глубокий результат:
- удаление твердого камня ультразвуком без повреждения эмали;
- снятие налета «курильщика» и пигментации системой Air Flow;
- очистка межзубных промежутков и труднодоступных участков.
Поэтому регулярная чистка в клинике — это не альтернатива, а обязательное дополнение к домашнему уходу.
Почему зубной щетки и пасты недостаточно?
Даже при тщательной ежедневной гигиене во рту остаются зоны, где скапливается зубной налет: области за жевательными зубами, внутренняя поверхность нижних резцов и десневые карманы.
Со временем отложения твердеют и превращаются в камень, который:
- травмирует десны;
- вызывает кровоточивость;
- усиливает неприятный запах изо рта.
Это создает благоприятные условия для развития кариеса и воспалительных заболеваний десен. Поэтому важно не только чистить зубы дома, но и регулярно проходить профгигиену полости рта.

Зачем нужна профгигиена?
Регулярная профессиональная чистка зубов — это профилактика серьезных проблем и способ избежать сложного и дорогостоящего лечения в будущем.
Профилактика кариеса и заболеваний десен
Основная причина разрушения зубов — кислая среда, создаваемая продуктами жизнедеятельности бактерий. При проведении профгигиены патогенная микрофлора практически полностью удаляется, что снижает риск развития кариеса на 70–80%.
После процедуры:
- уменьшается кровоточивость;
- десны становятся более здоровыми;
- снижается риск развития пародонтита.
Без регулярного удаления отложений воспаление десен прогрессирует и может привести к потере зубов. Здоровая десна должна иметь бледно-розовый цвет и плотно прилегать к шейке зуба, чего невозможно добиться при наличии отложений.
Как налет превращается в камень?
Сначала на поверхности зуба образуется тонкая биопленка. Если ее не удалить, она уплотняется и превращается в камень, который проникает под десну и провоцирует воспаление.
Последствия отказа от профгигиены:
- неприятный запах изо рта;
- кровоточивость;
- повышенная чувствительность;
- ухудшение состояния эмали.
В запущенных случаях это приводит к заболеваниям десен и потере зубов.
Показания к профгигиене
Даже при отсутствии выраженных жалоб профгигиену рекомендуется проводить 2 раза в год.
Плановая профилактика
Регулярные осмотры и гигиена полости рта позволяют выявить кариес на ранней стадии и вовремя удалить отложения. Особенно это важно при ношении брекетов, так как вокруг замков налет скапливается быстрее.
Подготовка к лечению, протезированию, имплантации и ортодонтии
Любое стоматологическое вмешательство должно начинаться с очищения.
Это важно, потому что:
- врач видит естественный цвет эмали и сможет безошибочно подобрать оттенок пломбы или коронки;
- материалы лучше фиксируются;
- снижается риск осложнений при лечении и хирургических манипуляциях.
Перед тем как начать ортодонтическое лечение, профгигиена полости рта обязательна, так как после установки брекетов доступ к некоторым поверхностям будет ограничен на долгие месяцы.
Противопоказания
Несмотря на безопасность, процедура имеет ряд ограничений, которые врач учитывает на первичной консультации.
Абсолютные:
- острые инфекции;
- ОРВИ;
- герпес в активной стадии;
- тяжелые системные заболевания.
Относительные:
- повышенная чувствительность эмали;
- эрозии или клиновидные дефекты.
В этих случаях процедура переносится или проводится с осторожностью.
Можно ли делать чистку при беременности и кормлении грудью?
Период ожидания малыша — не повод отказываться от ухода за полостью рта. Напротив, из-за гормональных изменений возрастает риск воспаления десен.
Однако следует учитывать, что подходящее время для визита — второй триместр, когда состояние плода и матери наиболее стабильно. В период лактации и кормления грудью чистка также безопасна и не влияет на здоровье ребенка.
Как проходит профгигиена в клинике «Арт Смайл»?
Процедура занимает около 40–60 минут и проходит поэтапно:
- Осмотр и диагностика. Врач оценивает состояние десен, наличие пломб и конструкций. На этом этапе может использоваться специальный индикатор налета, который окрашивает отложения в яркий цвет, наглядно показывая зоны, которым нужно уделить больше внимания при домашнем уходе.
- Удаление зубного камня ультразвуком без повреждения здоровых тканей. Под воздействием высокочастотных колебаний твердый камень разрушается и отделяется от эмали.
- Air Flow. Снимаются мягкие отложения, налет «курильщика» и пигментация от кофе, чая, в том числе из фиссур и межзубных щелей.
- Ручная очистка межзубных промежутков. Врач использует специальные кюреты и штрипсы, чтобы тщательно обработать труднодоступные участки и убедиться в полном очищении поверхностей зубов.
- Полировка эмали. Чтобы налет не скапливался быстрее, проводится полировка с использованием профессиональных паст и щеток. После этого эмаль становится гладкой и приобретает естественный блеск.
- Фторирование и реминерализация. В завершение наносится специальный гель или лак, содержащий фтор и кальций, что помогает укрепить эмаль и снизить чувствительность.
Итоговая стоимость профгигиены зависит от объема отложений, состояния десен и необходимости дополнительных этапов. В клинике доступны рассрочка и работа со страховыми программами, что делает лечение более доступным.
Больно ли делать чистку?
Для большинства пациентов профессиональная чистка зубов проходит комфортно и практически безболезненно.
При ультразвуковой обработке ощущается легкая вибрация и возможна кратковременная чувствительность в пришеечной области. Метод Air Flow воздействует мягко и не вызывает дискомфорта, напоминает приятный гидромассаж десен.
Если у пациента наблюдается острая кровоточивость или глубокие пародонтальные карманы, может быть применена анестезия. Мы используем современные анестетики, которые действуют локально и быстро выводятся из организма, обеспечивая полный комфорт во время сеанса.
Профессиональная чистка и отбеливание: в чем разница
Пациенты часто путают профессиональную чистку и отбеливание, считая, что обе процедуры делают зубы белее. На самом деле это манипуляции с разными целями.
Профгигиена возвращает зубам их природный цвет, удаляя «грязь» с поверхности. Отбеливание меняет оттенок эмали с помощью специальных составов.
Чистка — это здоровье, отбеливание — эстетика.
Важно понимать: профгигиена всегда проводится перед отбеливанием для равномерного результата.
Что делать после процедуры?
Чтобы сохранить результат:
- В первые 2–3 часа лучше воздержаться от еды.
- В течение суток исключить красящие продукты (свекла, вино, крепкий чай, ягоды).
- Заменить зубную щетку на новую.
- Соблюдать рекомендации врача по домашнему уходу.
Если дискомфорт сохраняется более 2–3 дней, стоит записаться на контрольный осмотр.
Регулярная профгигиена — здоровье ваших зубов. Не откладывайте визит к специалисту, ведь предотвратить проблему всегда проще и приятнее, чем лечить ее последствия. Запишитесь в «Арт Смайл» уже сегодня, чтобы ваша улыбка оставалась безупречной!
Часто задаваемые вопросы
- Можно ли есть после профессиональной чистки?
Да, но лучше воздержаться от еды 1–2 часа и в течение суток избегать красящих продуктов.
- Больно ли удалять зубной камень?
Нет, процедура обычно проходит комфортно, а при чувствительности применяется анестезия.
- Чем отличается чистка от отбеливания?
Чистка удаляет мягкие отложения и камень, возвращая естественный цвет, а отбеливание осветляет эмаль.
- Можно ли делать чистку при беременности?
Да, процедура безопасна, особенно во втором триместре при отсутствии противопоказаний.
- Можно ли удалить зубной камень дома?
Нет, плотные отложения можно убрать только с помощью специального оборудования.
- Сколько длится эффект?
В среднем результат сохраняется до 6 месяцев при правильном уходе.
- Что лучше — ультразвук или Air Flow?
Эти методы дополняют друг друга: ультразвук удаляет камень, а Air Flow — мягкий налет и пигментацию.
- Как часто нужно делать профгигиену при брекетах?
Рекомендуется проходить процедуру каждые 3–4 месяца из-за ускоренного накопления налета.








